
আমেরিকার ম্যাস জেনারেল ক্যান্সার সেন্টারের গবেষকরা ২০২৪ সালে একটি ফেজ-১ ক্লিনিক্যা ট্রায়াল করেন। ট্রায়ালটির নাম ছিল INCIPIENT। এতে গ্লিওব্লাস্টোমা নামে একটি অত্যন্ত আক্রমণাত্মক মস্তিষ্কের ক্যান্সারের চিকিৎসা পরীক্ষা করা হয়। এই গবেষণার ফলাফল The New England Journal of Medicine-এ প্রকাশিত হয়েছে। যেখানে CARv3-TEAM-E T সেল থেরাপি নামে একটি নতুন ওষুধ ব্যবহার করা হয়। এটি পুনরায় হওয়া গ্লিওব্লাস্টোমা রোগীদের জন্য তৈরি। মাত্র একটি ইনফিউশনের কয়েক দিনের মধ্যেই রোগীদের টিউমার ছোট হতে শুরু করে। একজন রোগীর ক্ষেত্রে প্রায় সম্পূর্ণ টিউমার সঙ্কুচিত হয়ে যায়।
CAR-T থেরাপি এমন একটি পদ্ধতি যেখানে রোগীর নিজের ইমিউন সেল পরিবর্তন করে ক্যান্সারের বিরুদ্ধে লড়াই করানো হয়। এই পদ্ধতি ব্লাড ক্যান্সারে আগে থেকেই সফল। তবে গ্লিওব্লাস্টোমার মতো সলিড টিউমারে এটি কাজে লাগানো কঠিন ছিল। নতুন এই পদ্ধতি সেই সমস্যার সমাধানের আশা দেখাচ্ছে। এখানে CAR-T থেরাপির সঙ্গে TEAMs নামের বিশেষ অ্যান্টিবডি ব্যবহার করা হয়েছে। TEAMs-এর পুরো নাম T-cell engaging antibody molecules।
এগুলো টিউমারের ভিতরের ভিন্ন ভিন্ন ক্যান্সার কোষকে একসঙ্গে লক্ষ্য করে। এতে টিউমারের বৈচিত্র্য বা heterogeneity মোকাবিলা করা সহজ হয়। এই থেরাপি সরাসরি মস্তিষ্কে ইনজেকশন দেওয়া হয়, যাতে ভাল ভাবে কাজ করতে পারে।
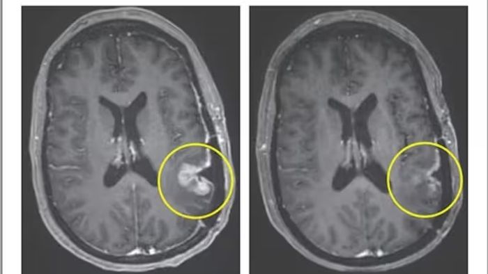
এই ট্রায়ালে ৩ জন রোগী অংশ নেন। তাদের বয়স ছিল ৫৭ থেকে ৭৪ বছরের মধ্যে। তারা আগে রেডিয়েশন ও কেমোথেরাপি নিয়েছিলেন। ফলাফলে দেখা যায়, একজন রোগীর টিউমার দ্রুত কমে, কিন্তু তা স্থায়ী হয়নি। আর একজনের ক্ষেত্রে ৬০ শতাংশের বেশি টিউমার কমে এবং তা ছয় মাসের বেশি সময় স্থায়ী হয়। তৃতীয় রোগীর ক্ষেত্রে মাত্র ৫ দিনের মধ্যে প্রায় সম্পূর্ণ টিউমার সঙ্কুচিত হয়ে যায়।
এই চিকিৎসা সহ্য করতেও সক্ষম হন ওই ৩ রোগী। তবে ইনফিউশনের পর জ্বর ও মানসিক অবস্থার কিছু পরিবর্তন দেখা যায়। এগুলো প্রত্যাশিত পার্শ্বপ্রতিক্রিয়া। রোগীদের হাসপাতালে পর্যবেক্ষণে রাখা হয় এবং পরে ছেড়ে দেওয়া হয়। কিন্তু শুরুতে ভাল ফল মিললেও পরে সব রোগীর টিউমার আবার বাড়তে শুরু করে। এর একটি কারণ হল CAR-TEAM সেল শরীরে বেশি দিন টিকে থাকতে পারেনি।
এখন গবেষকরা এই চিকিৎসার প্রভাব আরও দীর্ঘস্থায়ী করার চেষ্টা করছেন। তারা ভাবছেন একাধিকবার ইনফিউশন দেওয়া যায় কি না। এছাড়া আগে থেকে কেমোথেরাপি দিয়ে শরীরকে প্রস্তুত করার কথাও ভাবা হচ্ছে। ম্যাসাচুসেটস জেনারেল হাসপাতালের বিশেষজ্ঞদের নেতৃত্বে এই গবেষণা হয়েছে। এর লক্ষ্য হল, ল্যাবের গবেষণাকে বাস্তব চিকিৎসায় রূপ দেওয়া। যদিও এই থেরাপি এখনও রোগ পুরোপুরি সারাতে পারেনি, তবুও এটি ভবিষ্যতের জন্য একটি গুরুত্বপূর্ণ অগ্রগতি হিসেবে দেখা হচ্ছে।